Resources

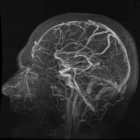
Q

What is an MRV?

A

Magnetic resonance imaging, or MRI, is a method of producing detailed pictures of organs and body tissues by exposing a patient to radio waves in a strong magnetic field. The field is measured and analyzed by a computer, which forms two- or three-dimensional images that may be viewed on a monitor. Because it uses radio waves and a magnetic field rather than x-rays, there is no exposure to radiation.

MRV stands for magnetic resonance venography. It is an MRI studies of the blood vessels. MRVs are used to assess abnormalities in the blood vessels of patients with a history of stroke, aneurysm, heart disease, and atherosclerotic vascular disease.

Q

Why might my doctor recommend an MRV?

A

If you experience frequent headaches, an MRV of the head may be recommended to detect or rule out blood clots in the brain. An MRV of the chest is used to detect blood clots or blockages in the main arteries leading to the heart, and an MRV of the abdomen checks for blood clots or blockages in the liver.